울산동구임플란트 구강건강을 위한 올바른 선택을 하고 싶다면울산동구임플란트

치아의 주요 기능은 음식을 저작하고

말할 때 발음을 지원하며

미적 가치를 제공하는 것입니다.

치아가 음식을 저작할 때에

이는 뇌의 기억력에 긍정적인

영향을 줄 수 있다고 합니다.

그러나 너무 강한 압력이 가해지면

치아가 깨지거나 파절될 수 있습니다.

손상된 치아는 자연적으로

회복되기 어렵기 때문에

계속해서 관리가 필요합니다.

따라서 건강한 상태를 유지하기

위해서는 치아에 대한 주의가 필요합니다.

 

 

기능과 심미성의 회복을 동시에! 울산동구임플란트로~

 

치아를 잃은 경우 인공치아가

필요한 경우가 있는데 예전에는

틀니나 인접 치아를 삭제하고

연결하는 브릿지 방법이 널리 사용되었습니다.

그러나 최근에는 울산동구임플란트가

인기를 끌고 있습니다.

임플란트는 인접한 치아에

영향을 미치지 않고

상실된 치아를 대체할 수 있습니다.

또한, 자연치와 유사한 기능과

외관을 제공하여 많은 장점을 가지고 있습니다.

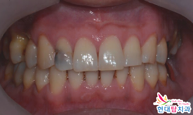
위 환자분께서는 전반적으로

치아 상태가 좋지 않다고 하시며

검진과 치료를 위해 

TOP치과에 내원해 주셨습니다.

치과에 대한 공포감으로 인해

미루시다가 결국 하나둘씩 불편함이

커졌다고 말씀해 주셨습니다.

전체적으로 심한 충치가 있는

치아와 머리 부분이 부러져 있는

치아, 그리고 치아 상실 부위가

많은 상태였습니다.

전체적으로 많은 치료가

필요한 상태임을 환자분께

충분히 설명드린 후

신경치료를 비롯한 보철과

예후가 불량한 치아들은

발치한 후 울산동구임플란트 식립 계획을

수립하였습니다.

먼저 뿌리만 남아 있던

치아와 충치가 심한 치아를

발치한 후 임플란트 식립을

진행하였습니다.

울산동구임플란트는 잇몸뼈와 융합이

가장 중요하기 때문에

식립 후 잇몸뼈와 인공치근이

단단히 굳을 수 있도록

충분한 기간을 기다려준 후

최종 보철물을 제작합니다.

울산동구임플란트를 식립하고 기다리는

동안 나머지 보철들도

완료하여 최종 보철물까지

큰 어려움 없이 치료가

종결될 수 있었습니다.

환자분께서는 모든 치료를

의식하 진정요법으로 진행하셔서 너무

편안하게 받으실 수

있었다며 매우 만.족하셨고

앞으로는 치료를 미루지

않고 정기적인 검진의

내원 약속도 꼭 지키시겠다고

말씀해 주셨습니다.

치과에 대한 막연한 두려움으로

치료를 미뤄오신 분들을 위해

현대탑치과에서는 의식하 진정요법

시행하고 있습니다.

의식하 진정요법은 마취통증의학과 상주하여

직접 특정 약물을 이용하여

환자를 진정 상태로 만들어 줍니다.

이 과정에서 환자는 의식을 유지한 채로

소통이 가능하며 동시에 통증을 완화하여

편안한 상태에서 치료를 받을 수 있습니다.

이러한 방법은 치과 공포증을 해소하고

시술 시간과 회복 기간을

줄일 수 있는 장점이 있습니다.

 

저희 치과에서는 치료 중

발생하는 통증에 대한 불안을 완화시켜주고

환자들의 내원 횟수를 줄일 수 있는

의식하 진정치료를 제공합니다.

더불어 편안한 회복실을 운영하여

환자들이 치료 후에도 회복을

할 수 있도록 지원합니다.

의식하 진정치료는

치과에 대한 공포로 인해

치료를 미루고 있던 분들이나

전신질환으로 걱정이 있으신 분,

통증이 우려되는 분,

여러 진료를 동시에 받아야 하는 분,

구역질 증상이 심해 치료가 어려운 분,

또는 자주 내원하기 어려운 분들을 위한

대안으로 고려할 수 있는 방법입니다.

 

치료에 대한 두려움으로 인해

치료를 미뤄 시기를 놓치게 되면

더 복잡한 과정이 필요할 수 있으므로,

적절한 시기에 치료를 받는 것이 중요합니다.

TOP치과는 다년간의

풍부한 임상 경험을 갖춘

치과보철과 전문의 대표 원장님께서

직접 진료를 하고 있어

높은 만족도를 기대할 수 있습니다.

또한,마취통증의학과 전문의 부원장님과의

협진을 통해 의식하 진정치료 시

어떠한 응급 상황에도 유연하게

대처할 수 있습니다.

치료를 미루고 계신 분들께는

더 이상 미루지 말고 TOP치과에

내원하여 의식하 진정요법에 대한

상담을 받아보시기를 권해드립니다.

 

감사합니다!

 

*모든 증례 사진은 의료법 제23조, 제 56조에 의거하여 환자분의 동의 하에 업로드가 진행되었습니다.
*치료 사진은 모두 본원에서 치료한 환자분의 사진입니다.
*치료 사진은 모두 동일인의 사진이며, 동일조건에서 촬영하였습니다.
*개인의 차이에 따라 시술 및 수술 후 부작용이 발생할 수 있으며, 의료진과 충분한 상담을 받으시기 바랍니다.

 



현대탑치과 네이버 바로가기

울산동구치과

문의 전화

052-252-2875

네이버 예약

네이버 예약