울산동구임플란트 잘하는곳 어디로 가야 할까울산동구임플란트

 

세월이 흘러갈수록

신체는 기능이 약해지고

여러 가지 질환이 발생합니다.

치아 역시 예외는 아니며,

노화로 인해 치아가 흔들리거나

빠지게 되는 경우가 있는데요.

이러한 원인으로 인해 치아를

상실하게 되면 생각보다 많은

불편함을 가져오게 됩니다.

저작기능이 저하되어 소화에 문제가

발생하고, 올바른 발음을 구사하기

힘들어지는 등 다양한 기능적 문제가

발생하거나 인접한 치아가 빈 공간으로

쓰러지면서 치열이 흐트러지고 안모의

변화가 나타날 수 있습니다.

 

울산동구치과

 

치아를 상실하였을 때 대표적으로

임플란트 식립을 떠올리시는

분들이 많을 것입니다.

임플란트는 자연치아의 뿌리 역할을

하는 인공치근을 잇몸뼈에 식립하고

잇몸뼈 조직과 융합하는 과정을 거치게 됩니다.

브릿지와 같은 보철치료와는 달리

인접 치아의 삭제 없이 상실한 치아를

구현할 수 있다는 장점을 가지고 있으며

구강관리를 소홀히 하지 않는다면

반영구적인 사용이 가능합니다.

또한 자연치아와 매우 흡사하여

우수한 심미성을 자랑하며

적응 기간이 짧고, 본래의 치아와

같은 편안한 사용이 가능하다는

장점을 가지고 있습니다.

 

 

오늘은 울산동구임플란트 잘하는곳

TOP치과에서 다수의 임플란트를

진행하신 환자분을 소개해 드리려고 합니다.

환자분께서는 60년생 남성분으로

부산 지역에 원래 알고 계시던

치과 원장님의 추천으로 내원해 주셨습니다.

치과 치료받을 치아가 많은데

겁이 나셔서 치료를 미루시다가

오셨다고 하셨는데요.

 

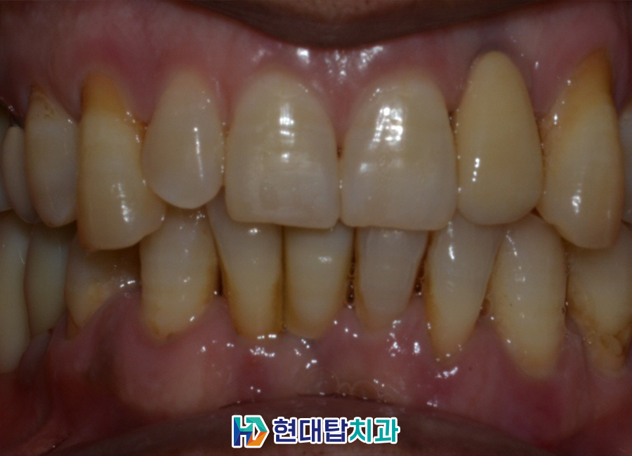
전반적으로 만성 치주염이 오랜 기간

지속되어 오신 상태로 잇몸뼈가

녹아있는 부분이 많이 관찰되었습니다.

또한, 오른쪽 위, 아래 모든 어금니 부위

예후가 불량한 상태였고, 왼쪽 앞니도

염증으로 인해 흔들림이 있는 상태였으므로

살려서 쓰기 힘든 치아들을

발치한 후 임플란트를

수면으로 진행하시기로 하였습니다.

기존 오른쪽 아래 임플란트 또한

임플란트 주위염으로 인해 제거가

불가피한 상황이었습니다.

 

 

임플란트 주위염은 임플란트 후

가장 많이 발생하는 부작용 중 하나로,

자연 치아의 치주 질환과 비슷하지만

임플란트로 인한 잇몸뼈의 소실은

자연치아 주위의 염증으로 인한

잇몸뼈의 소실보다 더 두드러지게 나타나므로

임플란트의 긴 수명을 위해 올바른 관리는

매우 중요합니다.

울산동구임플란트 잘하는곳 TOP치과에서는

임플란트를 식립한 후 인공치근과

잇몸뼈가 융합될 수 있도록 충분한

기간을 기다려준 후 보철물의 제작을

진행하고 있습니다.

또한, 왼쪽의 앞니 경우에는

뼈이식을 동반하여 임플란트 식립과

당일 보철치료까지 모두 안정적으로

완료하였습니다.

 

 

자연치아와 매우 비슷한 모양과 색깔에

환자분께서는 매우 높은 만족도를

보여주셨습니다.

많은 뼈이식을 동반하여 난이도가

높은 술식임에도 불구하고

큰 불편함 없이 안정적인 진행에

감사 인사를 전해주셨습니다.

다만, 전반적으로 좋지 않았던

잇몸을 완전히 회복하기에는 어려움이

있어 평상시 꾸준한 관리와 주기적인

검진을 당부드렸습니다.

환자분과 같이 치과치료에 대한

막연한 두려움으로 인해 치료를

미루고 계신 분들이라면

울산동구임플란트 잘하는곳 TOP치과의

의식하 진정 임플란트를

고려해 보실 수 있습니다.

수면 임플란트라고도 불리는

의식하 진정 임플란트란

환자분을 가수면 상태로 유도하여

임플란트를 식립하는 것을 말하는데요.

환자가 스스로 호흡이 가능하고

치료 도중 의료진과의 의사소통이

가능하며, 감각을 완화해 편안한 상태에서

치료를 받을 수 있도록 도와주기 때문에

두려움을 줄이는데 매우 효과적입니다.

 

 

임플란트 시술이 겁나시는 분, 병원에

자주 올 수 없는 바쁜 직장인과 주부,

긴 치료시간이 힘드신 분, 통증에 두려움이

있는 분, 치과 마취 바늘이 무서운 분,

치과 진료 시 들리는 소음이 불편하신 분,

치과 공포가 심해서 내원을 망설여오신 분들도

수면 임플란트를 고려해 보실 수 있습니다.

 

 

본원에서는 환자분들의 더욱 편안한

진료를 위해 통증 저감 마취를 통해

3단계로 나누어 진행하고 있습니다.

먼저 표면 마취를 통해 바늘이 들어가는

느낌을 줄이고, 디지털 장비를 이용하여

마취로 인한 불편함을 줄여드립니다.

마지막으로 극 미세침으로 깊숙한

부위까지 마취하여 치료 시 통증을

더욱 줄일 수 있도록 도와드리고 있습니다.

모든 치과치료가 마찬가지이겠지만

치료가 종결된 후 사후관리는 매우 중요합니다.

관리가 철저히 된다면 반영구적인

사용이 가능하지만 관리가 소홀할

경우 치주염 및 임플란트 주위염의

원인이 될 수 있기 때문인데요.

본원은 보건복지부인증 치과보철과

전문의 주재은 대표원장님

보건복지부인증 마취통증의학과

전문의 성채림 부원장님의 협진으로

항상 환자분들을 우선시 생각하여

정성을 다하는 진료를 하고 있습니다.

치아에 불편함이 느껴지신다면

더 이상 방치하지 마시고

TOP치과로 내원해 보시는 것은 어떨까요?

*모든 증례 사진은 의료법 제23조, 제 56조에 의거하여 환자분의 동의 하에 업로드가 진행되었습니다.
*치료 사진은 모두 본원에서 치료한 환자분의 사진입니다.
*치료 사진은 모두 동일인의 사진이며, 동일조건에서 촬영하였습니다.
*개인의 차이에 따라 시술 및 수술 후 부작용이 발생할 수 있으며, 의료진과 충분한 상담을 받으시기 바랍니다.



현대탑치과 네이버 바로가기

 

울산동구치과

 

문의 전화

052-252-2875

네이버 예약

네이버 예약